Somebody is super stoned.
Kita got a kitteh 2 week pain patch and a Cone of Shame.
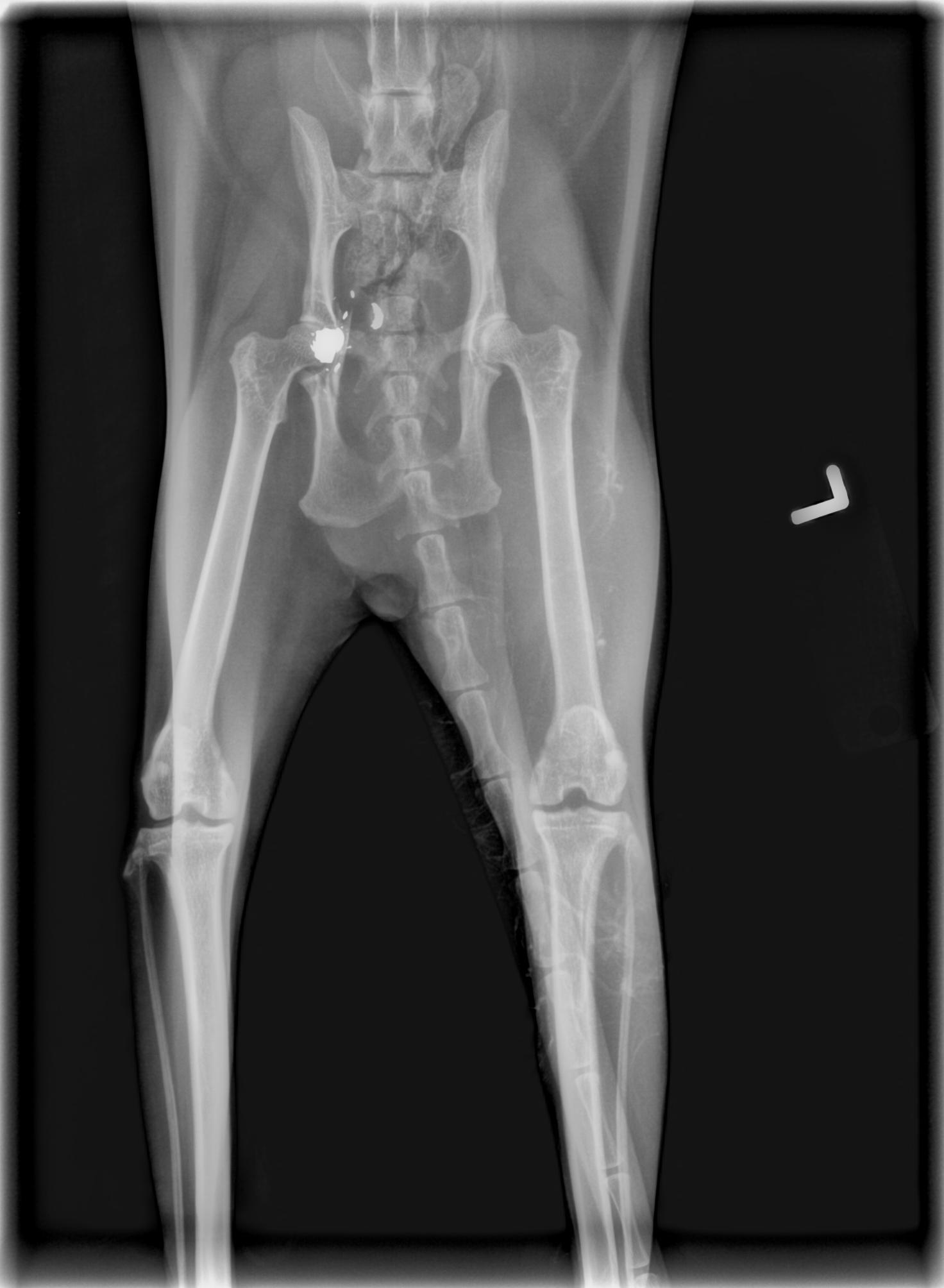
The x-rays re-pissed me off…shark rage isn’t pretty.
Pelvis cracked by impact of round, and you can see where some of it is way too close to the spinal column to go digging around.
If she doesn’t recover use of her leg at all, they will operate…she goes back in two weeks and must keep cone on, as patch is apparently some wicked awesome stuff and if she licks it, she can OD.
And no, before you smart asses ask, I didn’t lick her leg……they told me not to, that her meds won’t work on me.
Staff was amazing, and really do care.
Lucky for me, they don’t treat sharks and couldn’t get on me about MY health or shots.
Thanks for all your kind words and wishes, it helped us deal….
Offers of help with money for vet, zombie attack squads, a place to vent, and hormonal vengeance brought to kitteh shooter were wonderful.
Beeg salty shark hugs.



